近日,成人探花
泌尿外科原小斌副主任医师联合麻醉科凡浙录副主任医师,成功帮扶指导沁源县人民医院开展了首例3D后腹腔镜下肾上腺嗜铬细胞瘤切除手术。该手术属于泌尿外科高难度、高风险的四级手术,标志着在山医大一院多学科专家的对口支援下,沁源县人民医院在复杂肾上腺疾病的外科诊疗领域实现了零的突破,填补了县域内此项技术空白。
嗜铬细胞瘤是指起源于肾上腺髓质或肾上腺以外交感神经及副交感神经节的一种以分泌儿茶酚胺类激素(肾上腺素及去甲肾上腺素等)为主的肿瘤,可导致血压及心电的剧烈波动变化。由于手术中一旦触碰瘤体即会导致大量肾上腺素及去甲肾上腺素释放入血,患者血压会快速飙升至难以置信的程度(280-300mmHg),高压所致脑出血的风险极大;而瘤体在切除的一瞬间,又会由于体内肾上腺素及去甲肾上腺素快速下降,导致血压呈现自由落体般回落,瞬间低到测不出的程度,低压所致的脑灌注不足可能引起脑梗死或缺血缺氧性脑病,并可能诱发致死性恶性心律失常或呼吸心跳骤停。正是由于患者的心脑血管系统在麻醉和手术期间将承受如此重大的考验和压力,这种“核弹级”特殊肿瘤在本世纪初还是一种令泌尿外科和麻醉科医生“谈之色变”的凶险疾病,手术意外(致死致残)发生率很高。
近年来,随着泌尿外科学、麻醉学及围手术期科学的快速发展与进步,嗜铬细胞瘤的手术治疗已不再是令人望而生畏的禁区和高地,其围手术期安全性和治疗满意度均已显著提高,但仍属泌尿外科最为凶险的高难度四级手术。因此,能够开展嗜铬细胞瘤的麻醉手术及围手术期保障工作,通常被认为是衡量一所医疗机构综合实力及危重症围手术期管理水平的重要标志,它不仅要求团队具备精湛的技术操作能力,更需要多学科之间高度协同的默契配合,以精准应对手术全程中可能突发的血压剧烈波动、恶性心律失常等致命风险,为患者的生命安全筑牢坚实防线。

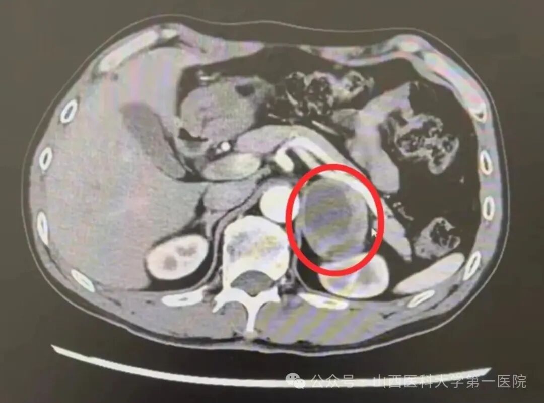
术前CT影像可见左侧肾上腺嗜铬细胞瘤病灶,红色圈内即为肿瘤病灶
本次帮扶诊疗活动在山医大一院泌尿外科曹晓明教授及麻醉科吕洁萍教授的全力支持下,由驻沁源县人民医院“千名医师下基层”刘凡主治医师具体协调,沁源县人民医院郝晋国院长统筹部署外科、麻醉科、手术室、心内科、重症医学科及医学影像科等多科室组成专项小组,为手术提供全方位保障。术前,原小斌、凡浙录与沁源县人民医院团队开展了多轮MDT研讨,结合患者CT影像提示的肿瘤体积较大(直径约6cm)、化验提示的儿茶酚胺激素分泌量成倍增高(甲氧基肾上腺素及甲氧基去甲肾上腺素高于正常上限4倍)以及合并有顽固性高血压、缺血缺氧性脑病等疑难复杂的疾病特点,共同制定了精细化手术前扩容准备方案以及个体化麻醉手术预案。

经过为期一个月的充分术前准备,该66岁男性患者如期接受微创手术。手术由原小斌主刀,凡浙录指导麻醉,在沁源县人民医院普外科及麻醉科团队的密切配合下顺利完成。术中,原小斌凭借娴熟的腹腔镜操作技巧,精准处理肿瘤与周围重要血管、脏器的解剖关系;凡浙录则通过精细化麻醉管理,实时监测并调控患者血压、心率等生命体征,确保手术全程平稳有序。术后患者恢复良好,各项指标均达预期,术后经精心护理快速康复,现已顺利出院。

通过此次手把手的围手术期带教与术中实时指导,山医大一院专家帮助沁源县人民医院团队掌握了复杂肾上腺肿瘤手术的关键技术。该例高难度手术在县域医疗机构的开展,有力提升了基层医疗服务能力,使患者不必辗转奔波即可获得高质量的诊疗,切实体现了对口帮扶工作的实效与意义。
专家简介

原小斌,山医大一院泌尿外科(国家临床重点专科)副主任医师,副教授,肾脏及肾上腺疾病亚专业医疗组长,山西医科大学硕士生导师,太原理工大学外聘硕士生导师(新一代电子信息技术专业医工结合领域),全日制外科学博士,美国哈佛医学院附属麻省总医院泌尿外科学博士后(国家公派),机器人辅助腹腔镜手术主刀资质医师。获评山医大一院2021及2024年度“先进个人”、2025年度“优秀共产党员”,目前担任中华医学会泌尿外科学分会(CUA)全国青年委员;中华医学会泌尿外科学分会(CUA)国际交流委员会全国委员;中国抗癌协会(CACA)中西整合肾癌专业委员会全国委员;中国医师协会泌尿外科医师分会(CUDA)肾上腺外科学组全国委员;亚洲男科学协会(AAA)青年委员;中国研究型医院学会泌尿外科学专业委员会(CRHA)全国青年委员;中国中西医结合学会泌尿外科专业委员会全国青年委员;北京医学奖励基金会泌尿外科学分会全国委员;国际泌尿外科学会(SIU)国际会员;国际腔内微创泌尿外科学会(EU)国际会员;美国泌尿外科学会(AUA)国际会员。
出诊时间:周一上午,周四上午

凡浙录,山医大一院麻醉科副主任医师,擅长疑难复杂肿瘤性疾病危重患者、肝脏移植及心脏外科的麻醉管理。目前担任中华医学会麻醉学分会药理学组委员;中国医师协会麻醉医师分会药理学组委员;中国心胸血管麻醉学会血液管理分会委员;中国抗癌协会麻醉与镇痛分会青年委员;山西省麻醉学会气道分会青年委员。
供稿:泌尿外科 刘凡 原小斌 凡浙录
制作:张文华
初审初校:曹晓明
复审复校:张君
终审终校:程红
发布:董希秀